Hey ladies,
I LOVE seeing all your ultrasounds, but sometimes I miss them and have to search around to see them. Babies! So, with the pregnancy board I was in for first kid in 2009 we had threads to share ultrasounds (and bellies) for each trimester. What do you guys think about posting those little babies here?
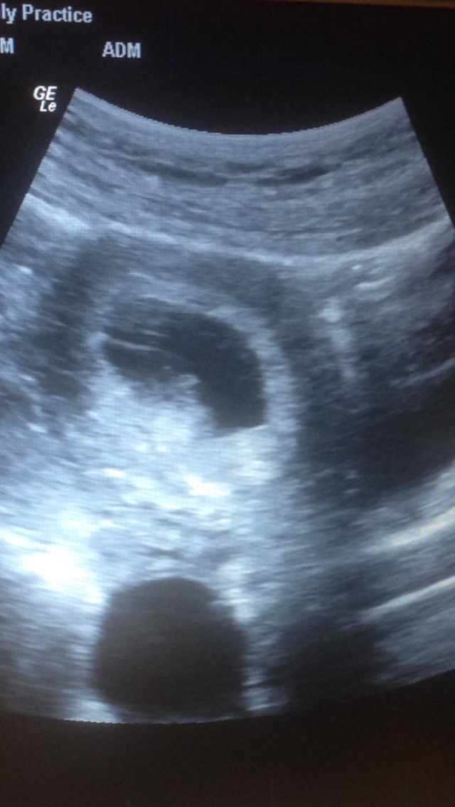
I know a bunch of you have to wait a bit for your u/s, but there's a few that have already had an u/s and are getting them soon (mine is on Thursday). So, share your first trimester ultrasounds below! Can't wait to see those babies grow.
--------------------------------------------------------------------------------------------------
Mama to one girl: born 12/2009.

Re: First Trimester Ultrasounds Sharing Time
BFP #2 8/22/12 | EDD 5/5/13 | DS1 born 5/9/13
BFP #3 4/25/15 | EDD 1/7/16 | MMC 7/2/15 @ 13w1d | D&E 7/8/15
BFP #4 12/9/15 | EDD 8/22/16 | DS2 born 5/18/16 at 26w2d
Just keep swimming.
Aug17 December Siggy Challenge: Funny Pics of Kids Afraid of Santa
Love seeing pics!!
Congrats everyone! Can't wait for my us on Friday! I'm sending everyone positive thoughts for a h&h 9 mos.
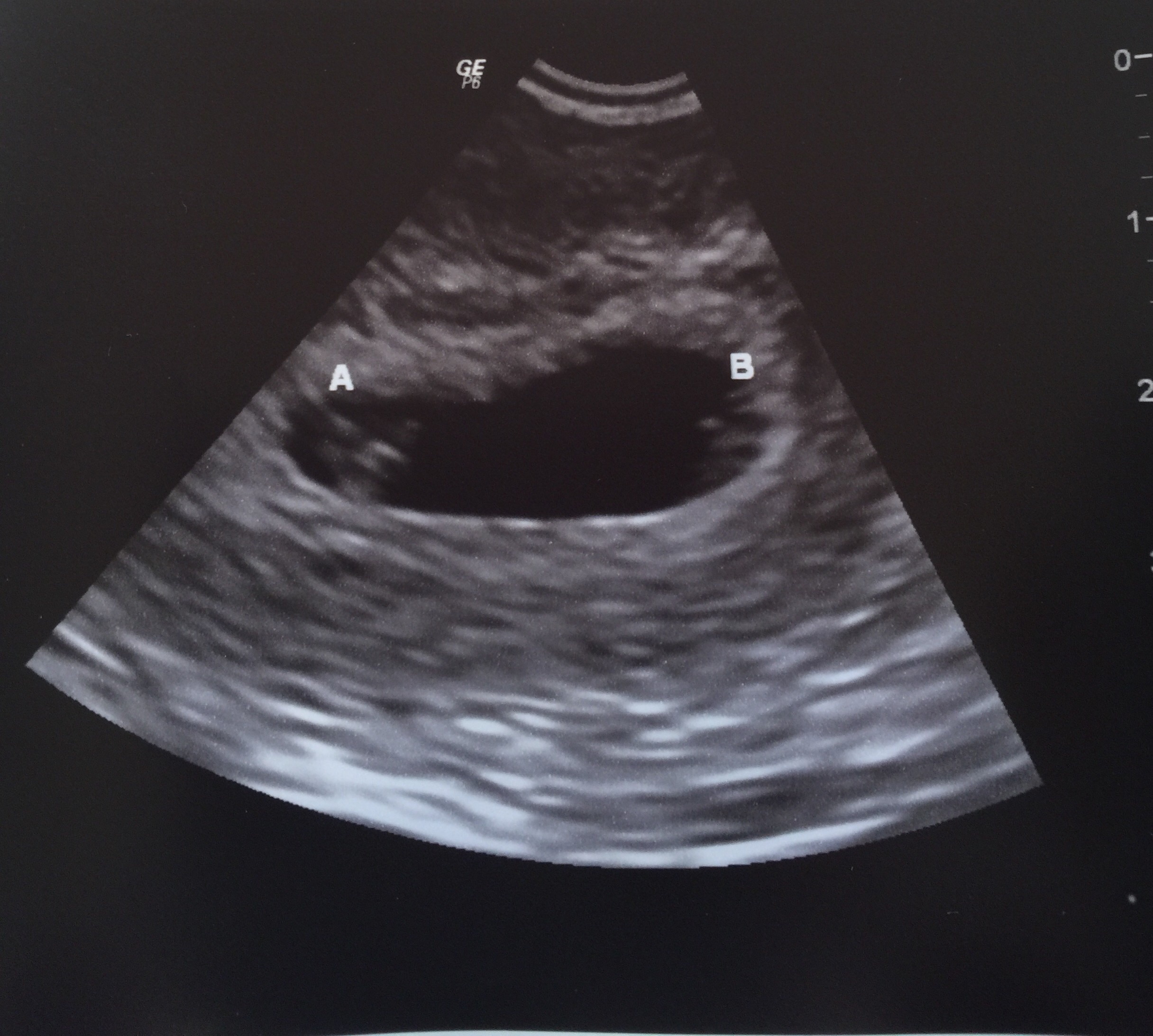
This was a transabdominal ultrasound.
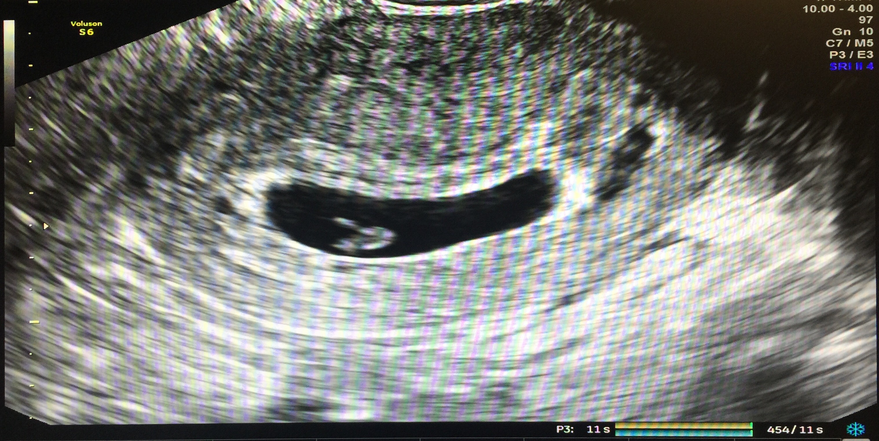
Our little one today! 6w1d
108HB